こんにちは。
院長の馬場です。
矯正治療をしたいけど、装置を着けると
しゃべりにくくなったり、装置が唇や頬に引っかかって痛くなる、違和感はどうなんだろう?etc…
矯正装置を着けるとお口の中では何が起こるのか知りたい方は多くいらっしゃると思います。
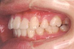
矯正したお口の中の写真をお見せします。





実はこの写真は僕自身の口の中です。
治療のために永久歯を4本抜いて出っ歯を矯正しました。
矯正治療の経験者として僕が感じた矯正装置ですが、
正直に言うとやはり装置を着けた時の違和感は大きかったです。
しかも、矯正装置(ブラケット装置)を着けている処置中に居眠りしていたので、
起きた瞬間に「口の中に物凄い物体がある!!なんだこれは!!」
とビックリして声が出たことは今でも覚えています。
口を動かすたびに何かに当たる!しゃべりにくい!とにかく気になる!
これが最初に矯正装置を着けた時の感想です。
ですが、不思議なことに口の中に物がある!
という違和感も3、4日位で慣れてしまいました。
常時口の中に装置がある生活に知らぬ間に適応していたみたいです。
徐々にこう動かせば装置に唇や頬が引っかからない、
しゃべる時もこうすればちゃんと発音できるんだ、と分かる様になりました。
なので、装置を着けてから1~2週間で口の中に物があることが「日常」になりました。
それからは、食べ物と歯磨きを注意するくらいでした。
ですが、やはり装置を着けた時は違和感が強いことは事実です。
装置は着けてみないと分からないことが沢山あります。
矯正治療を始める方は皆さん口の中に装置が入るのは初めての体験です。
なので、当院はまずは装置に慣れて頂くことから始めます。
矯正治療をする上で装置に慣れることはとても大事なことだと思うからです。
矯正治療経験者だからわかることもあります。
矯正治療をしたいけど、
装置を着けることに対して不安に思うことがあれば一度ご相談ください。

